トップページ > さまざまな希少がんの解説 > 頭頸部の肉腫(とうけいぶのにくしゅ)
頭頸部の肉腫(とうけいぶのにくしゅ)
更新日 : 2024年5月1日
公開日:2014年4月28日
頭頸部の肉腫について
頭頸部の肉腫はめずらしく、頭頸部悪性腫瘍の1%未満とされています。軟部組織、骨などから発生し、すべての年代、性別で発症する可能性があります。肉腫には様々な種類(病理組織型)があり、頭頸部領域では、脂肪肉腫、血管肉腫、軟骨肉腫、横紋筋肉腫、ユーイング肉腫、骨肉腫、未分化多型肉腫(悪性線維性組織球症:MFH)、悪性末梢性神経鞘腫瘍、滑膜肉腫などが発生しやすいとされています。病理組織型によりその特徴、治療方針が異なるため、治療前の病理学的診断が非常に重要です。病理学的診断後、その病理組織型の特徴に合わせた治療を行います。
症状
発生した部位により症状は様々です。上気道(空気の通り道)、鼻・副鼻腔、頭蓋底(頭の底)に発生した場合は、嗄声(声がれ)、呼吸苦、鼻閉、鼻出血、複視、様々な脳神経症状(顔面の痺れ、複視、嚥下障害(むせ)、など)が出現します。頸部に生じた場合は、腫瘤(はれもの)としてわかることもあります。
診断
治療前に腫瘍を一部切除し(生検)、病理学的診断を行います。前述の通り、肉腫には様々な病理組織型があり、その病理組織型によって治療方針が異なるので、病理学的診断は非常に重要です。発生した部位や年齢も診断の助けになります。咽頭、喉頭を含めた頸部には、脂肪肉腫、悪性末梢性神経鞘腫瘍、滑膜肉腫などが、鼻・副鼻腔には、血管肉腫、悪性末梢性神経鞘腫瘍、横紋筋肉腫などが、口腔には脂肪肉腫、横紋筋肉腫などが発生しやすいとされています。また、小児では、横紋筋肉腫の頻度が高いです。
病理学的診断と同時に、内視鏡検査及び、CT、MRIなどの画像検査により病気の範囲を把握します。頭頸部領域の肉腫では頸部リンパ節転移の頻度は少ないとされており、初診時の時点で転移が認められている割合は10%以下とされています。

治療
病理学的診断に基づいた、手術、化学療法(抗がん剤)、放射線治療を組み合わせた集学的治療が重要となります。頭頸部領域の肉腫では、発生頻度が低いために治療方針が確立されていない病理組織型もあり、頭頸部外科医、腫瘍内科医、放射線科医、病理診断医が連携をとり、治療方針を決めることが重要です。実際の治療では、局所病変、遠隔病変、各々を考慮しながら治療を行います。
局所病変においては、十分な安全域をもった外科的完全切除が望ましいです。腫瘍は頭蓋底(頭の底)に発生することも多く、開頭を要する頭蓋底手術を行うこともあります。また、食事、会話、呼吸といった、生活する上で重要な機能が集中する部位の切除となるため、機能を修復するために、自分の組織を移植する手術(遊離皮弁再建術)を行うこともあります。さらに十分な切除が困難であった場合、病理組織型の悪性度が高かった場合は、術後に放射線治療を行います。頭頸部領域は、他の領域に比較して機能温存を考慮しなければならず、そのため十分な局所療法が困難になり、局所再発が多いとされており、局所治療戦略は重要となります。
遠隔病変の治療や、予防の目的に化学療法を行うことがあります。横紋筋肉腫、ユーイング肉腫、骨肉腫などの化学療法の効果が高い肉腫では、術前、術後に化学療法を使用することで、治療成績が向上すると考えられています。
治療後は、定期的な経過観察が必要です。定期的に診察、画像検査を行い、病気が再び出現しないかをチェックしていく必要があります。
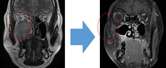
成人に発症した横紋筋肉腫
術前化学療法により、右副鼻腔の腫瘍は著明に縮小している。


希少がんリーフレット
動画
(収録日:2020年2月28日)
参考文献
- P.Q. Montogomery, P.H. Rhys Evans, P.J. Gullane. Principles and Practice of Head and Neck Surgery and Oncology, Second Edition. Informa Healthcare, 2009
- 日本頭頸部癌学会HP(外部サイトにリンクします)
啓発ポスター
準備中
執筆協力者

- 吉本 世一(よしもと せいいち)
- 希少がんセンター
- 国立がん研究センター中央病院
- 頭頸部外科
査読協力者

- 川井 章(かわい あきら)
- 希少がんセンター長
- 国立がん研究センター中央病院
- 骨軟部腫瘍・リハビリテーション科
関連リンク
- 肉腫(サルコーマ)
- 動画:「頭頸部の肉腫について」吉本世一~主に医療者向け~ (外部サイトにリンクします)
- 吉本 世一(よしもと せいいち)
- 川井 章(かわい あきら)
- 中央病院 頭頸部外科
- 中央病院 骨軟部腫瘍・リハビリテーション科
- さまざまな希少がんの解説
- 希少がんに関する動画一覧
- 国立がん研究センター 希少がんセンター
- 国立がん研究センター 希少がんセンター Facebook (外部サイトにリンクします)
- がん情報サービス:頭頸部の肉腫 (外部サイトにリンクします)








