トップページ > さまざまな希少がんの解説 > 尿膜管がん(にょうまくかんがん)
尿膜管がん(にょうまくかんがん)
更新日 : 2023年10月24日
公開日:2014年4月28日
★国立がん研究センタートップページ
★中央病院トップページ
★東病院トップページ
尿膜管がんについて
尿膜管がんは、膀胱にできる悪性腫瘍の1つで、非常にまれな腫瘍です。人間は胎内にいるとき、臍の緒を通じて必要な物質のやり取りを行います。赤ちゃんの膀胱から臍の緒につながる管を尿膜管といい、通常は出生後閉鎖してしまうのですが、構造は残ります。この尿膜管の部分ががん化したものを尿膜管がんと言います。膀胱にできる悪性腫瘍では膀胱がん(がん情報サービスへリンクします)が知られていますが、尿膜管がんは膀胱がんの1%未満の発生頻度です。尿膜管がんの特徴としては、がん細胞の形態(組織型)の大部分が腺がんであり、さらに胃がん(がん情報サービスへリンクします)や大腸がん(がん情報サービスへリンクします)などの消化管のがんと組織学的に似ていることが知られています。一方、膀胱がんの場合には、大部分が移行上皮がんと呼ばれる組織型であり、腺がんの発生は少ないとされています。
診断について
尿膜管がんは膀胱の外に向かって成長することが多いため、早期には血尿や膀胱の違和感などの自覚症状がでにくい病気です。よって症状がでるときには進行している状況で発見されることが多いです。
症状などから尿膜管がんが疑われる場合には、腫瘍の性状や発生した場所を確認するため膀胱鏡検査や、CTやMRIなどの画像診断を行います。尿膜管がんの確定診断のためには、膀胱鏡を用いて腫瘍の一部を採取(生検)して、病理診断を行うことが必要です。
尿膜管がんのほとんどは腺がんですが、一部の膀胱がん(がん情報サービスへリンクします)でも腺がん場合があるため、診断が難しい場合があります。

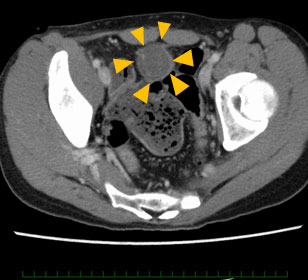
図 矢頭:CT画像上の尿膜管がんの腫瘤(骨盤内)
治療について
切除が可能な尿膜管がんの治療
遠隔転移がなく、切除が可能と考えられる範囲にがんがとどまっている場合には、第一に外科的手術を検討します。通常は、腫瘍のある部を含む膀胱壁から臍にいたる尿膜管を一塊として切除する手術が一般的です。進行した尿膜管がんに対しては、進行膀胱がんと同様に膀胱全摘術が検討されることもあります。しかし、進行した尿膜管がんは、むしろ腹腔内に散らばることが多く、外科的手術の適応とはならない場合が少なくありません。がんの進行している範囲に応じて、手術の術式が異なります。
切除不能または転移性の尿膜管がんの治療
がんが進行して切除不能な場合やすでに他の臓器に転移がある場合には、病状の進行を抑える目的で薬物療法を行います。尿膜管がんは非常にまれな病気であるため、これまでに行われた研究が少なく、どの治療が最も効果的かわかっていません。これまでに、組織型が似ているので、胃がん(がん情報サービスへリンクします)や大腸がん(がん情報サービスへリンクします)に使用する薬剤であるプラチナ系薬剤(シスプラチンなど)や5-FU系の薬剤の有効性が報告されています(適応外使用)。
希少がんリーフレット
執筆協力者

- 須藤 一起(すどう かずき)
- 希少がんセンター
- 国立がん研究センター中央病院
- 腫瘍内科 先端医療科

- 下井 辰徳(しもい たつのり)
- 希少がんセンター
- 国立がん研究センター中央病院
- 腫瘍内科

- 米盛 勧(よねもり かん)
- 国立がん研究センター中央病院
- 腫瘍内科 先端医療科







