トップページ > 診療科 > 肝胆膵内科 > 診療の特徴と実績について > EUSやERCPの内視鏡を使った診断治療 > 超音波内視鏡 (EUS)
超音波内視鏡 (EUS)
(ぼかし処理された画像は、画像の上にポインターを置く(スマホではタップする)ことで写真の閲覧が可能です)
1 超音波内視鏡(EUS)について
超音波内視鏡(EUS: Endoscopic Ultrasonography)とは先端に高解像度の超音波が備わった内視鏡です。この超音波内視鏡 (EUS)もいわゆる「胃カメラ」と同じで口から挿入します。超音波内視鏡 (EUS)の先端を胃壁や十二指腸壁にあてて観察を行うことで、消化管壁のすぐ向こう側にある膵臓や胆嚢などを至近距離で詳細に観察することができます。CTやMRIにて膵臓や胆道の病気が疑われる場合に、さらに詳しく調べることが超音波内視鏡(EUS)の主な役目です。外来にて受けていただくことが可能な検査です。

コンベックス型超音波内視鏡
この超音波内視鏡を用いて 超音波内視鏡下穿刺吸引法(EUS-FNA)を 行うことができます。2 超音波内視鏡 (EUS)を用いた腫瘍の存在診断と進展評価
膵腫瘍が疑われる場面において、CTやMRI検査を行うことは必須ですが、これらの画像検査では指摘できないレベルのより小さな膵腫瘍を超音波内視鏡 (EUS)では発見することができます。そして質の高い超音波内視鏡を苦痛なく行うことが膵腫瘍の診断に有用であると我々は考えています。超音波内視鏡の先端を胃壁や十二指腸壁にあてて観察を行うと、これらの壁のすぐ
向こう側にある膵臓を至近距離で見ることができます。この近接した状態がより詳細な膵臓全体の観察を可能にします。
超音波内視鏡による精査で腫瘍が描出できれば、超音波内視鏡下穿刺吸引法 (EUS-FNA)による腫瘍の組織診断が可能となります。また超音波内視鏡では直接腫瘍を描出するだけではなく、腫瘍として捉えることのできない微小膵癌によって起きる変化(膵管の狭窄・拡張や膵萎縮)を捉えることが出来れば、ERCPで更なる精査(経鼻膵管ドレナージチューブ留置 (ENPD)下の繰り返しの膵液細胞診)を行います。
また膵嚢胞を持っている人の膵臓には膵癌が発生しやすいことが分かっています。膵嚢胞を持つ人が膵癌になる危険は、一般人口の22.5倍高いとの報告もあります(Tada M et al. Clin Gastroenterol Hepatol 2006; 4時12分65-70)。従って膵嚢胞を有する患者さんには、できる限り早期に膵癌を発見するため定期的な画像検査が必要です。早期に膵癌を発見できるよう、当院ではCTやMRIだけでなく超音波内視鏡 (EUS)も駆使しています。
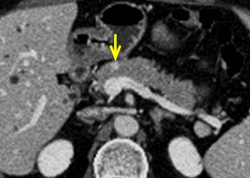
主膵管の拡張を契機に発見された膵癌
-
CT:
主膵管の狭窄部位(黄色矢印)は認識できますが、腫瘍は全く認識できません。
MRCP:
主膵管の狭窄(黄色矢印)と尾側主膵管の拡張を認めます。
超音波内視鏡(EUS):
大きさ10mmの低エコー腫瘍(黄色矢印)をはっきりと認識できます。
超音波内視鏡下穿刺吸引法(EUS-FNA)で膵癌と診断できました。
病理診断科より供与
【病理診断】大きさ15mmの浸潤性膵管癌でした。
膵頭十二指腸切除を施行し完全に切除ができました。pT1cN0M0 pStageIAでした。
腹部エコーを契機に発見された膵神経内分泌腫瘍
CT:
膵体部に造影効果を有する腫瘍(黄色矢印)を認めます。
超音波内視鏡(EUS):
境界明瞭な8mm大の低エコー腫瘍(黄色矢印)を認めます。

超音波内視鏡下穿刺吸引法(EUS-FNA)で
Ki-67標識率4%であったため
膵神経内分泌腫瘍(NET G2)と診断できました。
腫瘍は小さく核出術が可能でした。
病理診断科より供与【病理診断】
膵神経内分泌腫瘍(G2)でした。
白色矢印が腫瘍です。
Synaptophysin (+), Chromogranin A (+),
Ki-67標識率3.8%
多発性内分泌腫瘍症MEN type1であった膵神経内分泌腫瘍

CT:
膵体尾部に30mm大の腫瘍(黄色矢印)を認めます。
CTで認識できる腫瘍はその他にはありませんでした。
膵尾部には境界不明瞭な30mm大の低エコー腫瘍(黄色矢印)があります。
CTでは認識できない1cm以下の低エコー腫瘍(黄色矢頭)が膵全体に多発していました。

超音波内視鏡下穿刺吸引法(EUS-FNA)で
膵尾部腫瘍は膵神経内分泌腫瘍(G2)と診断しました。
また副甲状腺機能亢進症を合併しており、
多発性内分泌腫瘍症MEN type1に伴う多発する
膵神経内分泌腫瘍でした。
病理診断科より供与
【病理診断】
多発性内分泌腫瘍症MEN type1に伴う 膵神経内分泌腫瘍(G2)でした。
膵体尾部切除術を行いました。膵尾部 腫瘍に加え、膵内には1cm以下の多数 の神経内分泌腫瘍を認めました。Synaptophysin (+), Chromogranin A (+) Ki-67標識率 5%
腹部エコーを契機に発見された胆嚢癌
CT:
胆嚢体部に造影効果を有する壁肥厚(白い部分: 黄色矢印)を認めます。
超音波内視鏡(EUS):
広基性の隆起性病変を認めます。胆嚢壁の外側高エコーは保たれており、漿膜下層の深層までは浸潤していない胆嚢癌と診断しました
病理診断科より供与漿膜下層の深層までは浸潤していないので、腹腔鏡下胆嚢摘出術を行いました。
EUSの診断を加える事で低侵襲な手術が可能となりました。
【病理診断】
胆嚢癌(乳頭膨張型)
線維筋層を越えてわずかに漿膜下層に浸潤する乳頭状腺癌でした。


