トップページ > 診療科 > 肝胆膵内科 > 診療の特徴と実績について > EUSやERCPの内視鏡を使った診断治療 > 超音波内視鏡下穿刺吸引法 (EUS-FNA)
超音波内視鏡下穿刺吸引法 (EUS-FNA)
1 EUS-FNAについて
超音波内視鏡下穿刺吸引法 (EUS-FNA)とは、超音波内視鏡 (EUS)を用いて腫瘍に対して細い針を刺し、腫瘍細胞を回収する検査です。この回収された検体を用いて組織診を行い腫瘍の診断を行います。この超音波内視鏡下穿刺吸引法 (EUS-FNA)での正確な組織診断は腫瘍の治療方針決定に非常に有用です。この検査では鎮痛剤と鎮静剤の静脈投与を行いますので、苦痛は伴わず受けることができます。また検査の翌日より食事も可能です。
2 EUS-FNAを用いた正確な組織診断
日帰りEUS-FNAも可能です。
超音波内視鏡 (EUS)による精査で腫瘍が描出できれば、EUS-FNAによる組織診を行うこと ができます。このEUS-FNAでの正確な組織診断が腫瘍の治療方針決定に非常に有用です。 具体的には(1)切除可能(手術できる)病変であれば、手術すべき病変かどうか? (2)切除不能(手術できない)病変であれば、どの治療法が適切か?を判断します。膵病変に 対するEUS-FNAの良悪性の正診率(正しく診断できる確率)は熟練した施設では90%以上に なると報告されており、開腹せず腫瘍の診断ができる低侵襲な検査です。また偶発症は 約2%以下と言われており安全に行える検査です。穿刺対象臓器は膵臓以外にも肝臓、胆嚢、 リンパ節など多岐にわたり、超音波内視鏡で描出できる病変はそのほとんどはEUS-FNAが 可能です。当院では入院した上でのEUS-FNAに加え、外来でEUS-FNAを行うことも可能です。 外来EUS-FNAを行うかについてはCT所見も見て判断させていただいています。
血糖コントロールの悪化を契機に発見された膵癌
CT:
低吸収域(黄色矢印)は不明瞭です。
超音波内視鏡(EUS):
大きさ10mmの低エコー腫瘍(黄色矢印)をはっきりと 認識できます。
超音波内視鏡下穿刺吸引法(EUS-FNA)で 膵癌と診断できました。
病理診断科より供与
病理診断科より供与
【病理診断】
大きさ10mmの浸潤性膵管癌でした。
膵体尾部切除を施行し完全切除できました。 pT1bN0M0 pStageIAでした。
(ぼかし処理された画像は、画像の上にポインターを置く(スマホではタップする)ことで写真の閲覧が可能です)
腹部エコーで発見された膵神経内分泌腫瘍
CT:
造影効果を有する高吸収域(黄色矢印)を認めます。
超音波内視鏡(EUS):
境界明瞭な7.8mm大の低エコー腫瘍(黄色矢印) をはっきりと認識できます。

病理診断科より供与
膵神経内分泌腫瘍(NET G1)と診断できました。 Synaptophysin (+), Chromogranin (+)でした。
NET G1, 10mm以下であり経過観察が可能と判断して、手術を行わないで経過観察しています。
原発不明のリンパ節転移をEUS-FNAにて胆嚢癌と診断しえた患者さん

CT:
腫脹した鎖骨上リンパ節腫脹(黄色矢印)の生検にて
腺癌を認めていました。
CT:
胆嚢壁の肥厚(黄色矢印)を認めましたが、胆嚢腺筋腫症等の良性病変も考えられました。
超音波内視鏡(EUS):
胆嚢壁の全周性壁肥厚を認めます。
超音波内視鏡下穿刺吸引法(EUS-FNA):
胆嚢底部の腫瘤を穿刺し、腺癌を認めたことより、胆嚢癌が原発だと分かりました。胆道癌の化学療法を開始することができ、適切な治療を選択できました。
病理診断科より供与
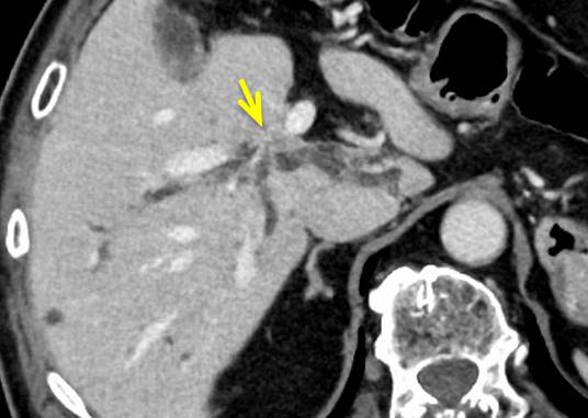
EUS-FNAで確定診断しえた肝門部領域胆管癌

CT:
肝内胆管の拡張の起始部に壁肥厚(黄色矢印)
を認めますが、明らかな腫瘤は指摘できません。
内視鏡的逆行性胆管造影(ERC):
拡張した後区域枝の根部に狭窄(黄色矢印)を認めます。
内視鏡的逆行性胆管造影(ERC):
狭窄部位より胆管生検、Trefleによる細胞診/組織診を行うも悪性細胞を認めませんでした。
超音波内視鏡(EUS):
境界不明瞭な低エコー腫瘍(黄色矢印)を認識できEUS-FNAを行いました。
超音波内視鏡下穿刺吸引法(EUS-FNA):
腺癌を認め肝門部領域胆管癌と診断し、手術ができました。
病理診断科より供与



